Het telefoontje
Het was vrijdag, 1 dag na de punctie en ik zou vóór 12 uur gebeld worden over het aantal bevruchtingen. Er waren alweer talloze scenario’s door mijn hoofd gegaan toen mijn telefoon om 12u nog niet over was gegaan. Om half een belden ze:
“Mevrouw er zijn 3 eitjes bevrucht en deze zijn in de embryoscope (apparaat waar de embryo’s 5 dagen in mogen doorontwikkelen) gegaan, ze zien er mooi uit. Als u niets meer hoort zien we u dinsdag voor de terugplaatsing!”.
3 bevruchtingen…best ok als je 4 eicellen hebt. Maar ja, weer die ellendige rekensom…hoeveel gaan er afvallen? Je wordt gebeld als ze allemaal gestopt zijn met delen. Maar niet in het weekend. Goed, zaterdag en zondag dus rust want dan gingen ze sowieso niet bellen. Maandag om 12u nog geen telefoon. Blijkbaar was er minimaal 1 in de race… Dinsdag in de auto op weg naar Düsseldorf was ik nog steeds nerveus. Heel onhandig als de opdracht is om met een halfvolle blaas te komen…onderweg moest ik toch echt even plassen, dan maar daar nog een halve liter water drinken.
De terugplaatsing
Bibberend liepen we (nou ja ik, mijn vriend is heel relaxed) het kamertje van de arts in. Er was er in ieder geval 1! Maar stiekem hoopte ik dat we er 2 hadden. Als er 2 embryo’s waren mochten we ervoor kiezen om er 2 terug te laten plaatsen. Maar de kans op een zwangerschap verdubbelt niet bij 2 embryo’s. Hij gaat van ongeveer 34% naar 38% (als ik het me goed herinner) had de arts ons verteld. Wij hadden afgesproken dat als er 2 embryo’s waren, wij onze kansen gingen spreiden en ze 1 voor 1 terug lieten plaatsen. Vooral ook aangezien ik al een keizersnede had gehad, tweelingzwangerschappen zijn dan nog net iets riskanter.
“Wilt u er 1 of 2 mevrouw?”
2? DUS ER ZIJN ER 2 DOORGEDEELD? Ik was al helemaal in tranen van vreugde toen de arts zei: ”Nee, 3! Eentje hebben we al ingevroren, u mag nu kiezen of u er 1 of 2 wilt.” Ik heb gejankt als een klein kind. Na een minuutje uitgelegd aan de enigszins verbaasde arts dat dit van vreugde en spanning was. 3 topembryo’s! We hebben nog heel even getwijfeld omdat we geen rekening hadden gehouden met dit scenario, maar toch gekozen voor 1 terugplaatsing. Onze theorie: 3 x 34% is 102% dus dan moet het lukken! Je moet toch positief blijven… We gingen naar huis met een mooi embryo aan boord!
Niet gelukt…
Uiteraard begon ik weer veel te vroeg te testen, maar daardoor had ik ook al snel door dat het niet goed ging. Er kwam een heel licht streepje op de test, dat elke dag een heel klein beetje donkerder werd. Maar niet donker genoeg! Op de officiële testdag belde ik de kliniek met de mededeling dat er wel een streepje was, maar veel te licht. “Een streep is een streep mevrouw, gefeliciteerd, u bent zwanger!”. Er werd een echo ingepland, maar ik wist al dat we daar nooit heen zouden gaan. 3 dagen later begon de bloeding….
Cryo terugplaatsing
1 september mochten we weer terug voor de terugplaatsing van het tweede embryo. Weer zenuwachtig want tijdens het ontdooien kan het ook weer misgaan…maar we kregen wederom een topembryo teruggeplaatst. Deze keer had ik acupunctuur gedaan (ik geloofde er niet in, maar baat het niet dan schaadt het niet…) en we gingen 2 dagen later op vakantie. Ontspannen dus…zoals mensen vaak zeggen die niet in zo’n traject zitten: Een dochter van een nicht van een vriend kon ook niet zwanger worden maar toen ze op vakantie ging lukte het toch. Ik reageerde al niet meer op dit soort verhalen, maar geloof me, al zeg je het met de beste bedoelingen, dit is geen leuke opmerking voor mensen die hiermee bezig zijn! Oh ja, als ik ontspan heb ik opeens weer goede eitjes, of is het zaad van je vriend opeens weer helemaal goed. Zo werkt het niet! Ik geloof wel dat een beetje ontspanning geen kwaad kan!
Testen op vakantie
Met een lading (12 ;)) testen kwamen we aan in Frankrijk.
Omdat je embryo al 5 dagen oud is kun je al redelijk snel testen. Na 5 dagen deed ik mijn eerste testje en er kwam een mooi licht streepje. Dit streepje werd elke dag donkerder. En mooi donkerder! Deze keer voelde het goed. Na een knaltest heb ik het zelfs volgehouden om 2 dagen niet te testen. Nog op vakantie belde ik de kliniek dat het gelukt was. Ik mocht met 7 weken en 1 dag komen voor een echo. Dat duurt lang!!
Omdat deze kliniek enkel gericht is op het zorgen dat je zwanger wordt, word je daarna niet verder begeleid in je zwangerschap. Dus ik kon ook meteen naar de verloskundige. Verloskundige gebeld en daar mocht ik al met 6 weken en 5 dagen komen. Dus Düsseldorf afgebeld en gewoon naar de verloskundige!
Dé echo
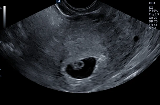
Na een paar zenuwslopende weken mochten we dan eindelijk naar de verloskundige voor de eerste echo. Normaal doen ze eerst een gesprekje maar ik kwam al huilend binnen, hier hing alles vanaf voor mij! De verloskundige reageerde erg empathisch en ze zei: “Zullen we maar eerst een echo maken dan?”. Heel fijn! En heel eng! “Sorry het wordt wel inwendig omdat het nog zo vroeg is”. Inmiddels had ik zoveel inwendige echo’s gehad dat ik verbaasd was dat ze sorry zei! Maar goed…daar gingen we….even zoeken..en JA!!! Een kloppend hartje!!! Ik was nog steeds aan het huilen sinds binnenkomst dus dat ging
mooi in een ruk door! Het zag er allemaal goed uit! De opluchting die je dan voelt, ontlading, blijdschap, het verdriet dat je hebt gehad, de onzekerheid, zoveel…het is met geen pen te beschrijven.
Zwanger!!!
Het is niet zo dat je de rest van de zwangerschap dan niet meer onzeker bent. Ik heb heel veel echo’s gehad om er een beetje in te kunnen geloven, vooral na een flinke bloeding met 11 weken en 5 dagen 
Tot slot…
Ik heb geprobeerd om jullie een inkijkje te geven in dit medische traject. Een

traject dat door iedereen anders wordt ervaren maar ik weet zeker dat lotgenoten in ieder geval delen van mijn verhaal zullen herkennen. En omdat ik het kort probeerde te houden heb ik nog niet een kwart van de emoties die het met zich meebrengt kunnen overbrengen. Maar ik hoop dat het een beetje duidelijk maakt wat je doormaakt. En wat iemand die jij vast wel kent (of misschien wel zelf bent) doormaakt in zo’n traject. Er zijn mensen die er niet over praten, ik was iemand die er veel over praatte. Ieder zijn eigen keuze. Maar het is voor niemand makkelijk en het is dan ook geweldig als er mensen om je heen zijn die in ieder geval hun best doen om het een beetje te begrijpen en je te steunen. En bedenk je nog eens een keer voordat je aan iemand vraagt: En, wanneer komt er bij jullie een kindje? Of: Wordt het niet eens tijd voor een tweede? Deze mensen hopen misschien al jarenlang op een kindje.
Ik weet dat er veel mensen meelezen die hun wens nog niet in vervulling hebben zien gaan. Ik wil je alle geluk in de wereld toewensen en wie weet haal je een heel klein beetje hoop uit ons verhaal…
Onlangs hebben we ons laatste embryo terug laten plaatsen in de hoop nog een derde kindje te mogen krijgen. Hier lees je hoe dat verliep: Ons laatste embryo – IVF Deel 4
Liefs,
Ellen


Pingback: Ons IVF traject (2) | Zebrapaardje
Hoi Ellen,
Wat een mooi verhaal! Ik zit in hetzelfde schuitje momenteel maar ik ben afgeserveerd door de fertiliteitsartsen hier. Welke kliniek in Düsseldorf zijn jullie geweest als ik mag vragen?
Dankjewel!
Hoi Jess,
Sorry ik zie dit nu pas. Wij zijn toen in Düsseldorf geweest, maar de behandelend artsen (Cuypers en Cuypers) zijn een nieuwe kliniek gestart in Heinsberg in de tussentijd, zie ook de reactie hieronder. Heel veel geluk!
Liefs,
Ellen
Ik zou naar cuypers en cuypers gaan. Wij waren in Nederland ook na 6 icsi pogingen klaar, maar hadden bij poging 7 bij hun ineens 2 top embryo’s op dag 5 terwijl we dat normaal al nooit haalden. En hebben nu sinds een aantal maanden een kleine jongen.
Wat geweldig Jessica! Onze artsen waren ook Cuypers en Cuypers, superlief en kundig!
Hoi Ellen,
Wat mooi om te lezen dat het uiteindelijk gelukt is allemaal.
Ik snap alleen niet waarom je in slaap bent gebracht op dat houten bed.
Kun je me dat uitleggen?
Groetjes,
Saar
Hoi Saar,
In Düsseldorf doen ze de punctie standaard met een roesje. Daarom werd ik in slaap gebracht. En dat bed…was iets ouderwetser dan in Nederland zullen we maar zeggen ;), niet heel erg comfortabel. Maar ja, je slaapt toch…
Groetjes Ellen
Hoi Ellen,
Dit verhaal en de Duitse kliniek geven mij hoop! Na één jaar proberen voor ons eerste kindje zijn wij beland in het ziekenhuis voor onderzoek bij de fertiliteitspoli. Zaadcellen zijn goed, maar mijn AMH-waarde is maar 0,06 en ik ben pas 32 jaar. Op de echo zagen ze 3 follikels. Ik krijg bij het JBZ 1 IVF poging. Maar het geeft hoop dat ik daarna nog richting Duitsland kan.
Zijn ze Nederlandstalig bij Cuypers en Cuypers? Thanks!
Hoi Rabia,
Hopelijk kunnen ze in Duitsland nog iets voor jullie betekenen! 3 follikels is niet veel maar kan nét genoeg zijn en hopelijk kunnen ze in Duitsland met de juiste medicatie het beste naar boven halen. Ik heb altijd begrepen dat je leeftijd ook invloed heeft, los van het AMH. Dus dat je 32 bent heeft een positieve invloed. Gelukkig is bij je man ook alles goed, dat was bij ons ook zo.
Cuypers en Cuypers zijn Nederlandse artsen en heel erg kundig + vriendelijk, ook niet onbelangrijk. Maar laten we allereerst hopen dat het niet nodig is en het in het JBZ lukt.
Heel veel geluk!
Liefs,
Ellen